Even if you brush and floss daily, you may notice a yellowish or brown layer near your gumline. That’s tartar — also known as dental calculus — and it’s one of the most stubborn oral-hygiene problems.
Tartar buildup not only affects your smile’s appearance but also contributes to gum disease, cavities, and chronic bad breath.
In this blog, our dental experts at Trivandrum Dental Specialists’ Group explain everything you need to know about tartar — from how it forms to how you can get rid of it effectively and safely.
What Exactly Is Tartar?Tartar is a hardened form of plaque — the sticky film of bacteria that constantly forms on your teeth.
When plaque isn’t removed properly through brushing and flossing, minerals in your saliva harden it into tartar. Once it forms, tartar adheres tightly to your enamel and gumline, becoming extremely difficult to remove without professional help.
This hardened layer provides an ideal environment for more bacteria to grow, which can irritate your gums and lead to long-term oral-health problems.
Tartar buildup is most common:
Behind the lower front teeth
Around the gumline
Between molars
On rough or irregular tooth surfaces
Tartar doesn’t appear overnight — it develops gradually from unremoved plaque:
1. Plaque formation begins when bacteria mix with food particles and saliva.
2. The bacteria feed on sugars and starches, producing acids that weaken enamel.
3. If not cleaned off within 24–48 hours, the plaque starts to harden.
4. Over a few days, it becomes tartar, which bonds strongly to your teeth.
Certain factors increase your risk of tartar buildup, including:
Poor brushing and flossing habits
Dry mouth (reduced saliva flow)
Smoking or tobacco use
Crowded or misaligned teeth
High-sugar diet
| Feature | Plaque | Tartar |
|---|---|---|
| Texture | Soft, sticky film | Hard, crusty deposit |
| Color | Colorless or pale yellow | Yellow, brown, or black |
| Formation Time | Within hours | After 1–3 days of unremoved plaque |
| Removal | Brushing and flossing | Professional dental cleaning only |
| Health Impact | Causes cavities | Causes gum disease and enamel damage |
Simply put: plaque can be prevented; tartar must be treated.
Why Tartar Is a Serious ProblemTartar buildup can cause more than just an unsightly smile. It’s directly linked to several oral-health issues:
1. Gum Inflammation (Gingivitis)
The rough surface of tartar irritates the gums,
causing them to become red, swollen, and prone to
bleeding. Tartar buildup irritates the gums, leading
to gingivitis and bleeding gums — a topic
we’ve explored in detail in our blog on
why gums bleed and how to treat it.
2. Periodontal Disease
If untreated, gingivitis progresses to
periodontitis, an advanced gum infection that
affects the bone and can lead to tooth loss.
3. Tooth Decay
The bacteria trapped within tartar produce acids
that erode enamel, leading to cavities.
4. Persistent Bad Breath (Halitosis)
Tartar harbors bacteria that release foul-smelling
sulfur compounds, resulting in
chronic bad breath.
5. Tooth Discoloration
Because tartar is porous, it easily absorbs stains
from coffee, tea, and tobacco, dulling your smile.
Tooth discoloration caused by tartar can make your
smile appear dull. If you’re considering cosmetic
improvements, check out our guide —
Is Teeth Whitening Safe?.
Common signs you may have tartar buildup:
Yellow or brown deposits on teeth that brushing doesn’t remove
Gums that bleed while brushing or flossing
Persistent bad breath
Roughness on tooth surfaces near gums
Receding gums or tooth sensitivity
If you notice any of these signs, it’s time to book a professional dental check-up in Trivandrum.
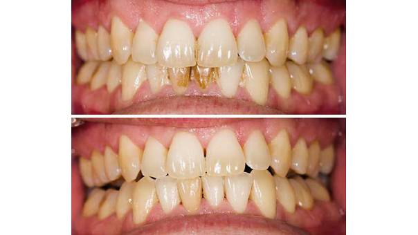
Can You Remove Tartar at Home?Unfortunately, no — once tartar forms, it’s too hard to be removed with a toothbrush or toothpaste.
Scraping or picking at tartar at home can injure your gums or enamel, potentially worsening the problem.
The safest and most effective way to remove tartar is through professional teeth scaling and polishing, performed by a qualified dentist or dental hygienist.
How Dentists Remove TartarAt Trivandrum Dental Specialists’ Group, tartar removal is performed using modern ultrasonic scaling technology for a gentle, effective cleaning experience.
Here’s how a typical professional dental cleaning works:
Step 1: Oral Examination
Your dentist first checks your teeth and gums for
tartar deposits, inflammation, or infection.
Step 2: Ultrasonic Scaling
A specialized ultrasonic scaler uses
high-frequency vibrations to break tartar into small
pieces. Simultaneous water spray washes away the
debris.
Step 3: Hand Scaling (Fine Cleaning)
Dentists use small hand instruments to clean between
teeth and below the gumline for complete tartar
removal.
Step 4: Polishing
Your teeth are then polished with a smooth paste to
remove stains and make it harder for new plaque to
stick.
Step 5: Optional Fluoride Treatment
A fluoride gel may be applied to strengthen enamel
and protect against cavities.
Duration: 30–45 minutes
Recommended Frequency: Every 6 months (or 3
months for those with gum issues or heavy
buildup)
If you’re searching for teeth scaling in Trivandrum or professional dental cleaning near me, Trivandrum Dental Specialists’ Group provides gentle, effective tartar removal for healthier teeth and gums.
Tartar prevention starts with consistent oral hygiene and mindful daily habits.
1. Brush Twice a Day
Use a soft-bristled toothbrush and
fluoride toothpaste. Brush for at least two
minutes, covering all surfaces.
2. Use a Tartar-Control Toothpaste
Some toothpaste contains active ingredients like
pyrophosphates and zinc citrate that slow tartar
buildup.
3. Floss Daily
Flossing removes plaque and food particles between
teeth where your brush can’t reach.
4. Rinse with Antibacterial Mouthwash
It helps reduce bacteria and slows down plaque
formation.
5. Reduce Sugar and Starch Intake
Limit sugary snacks and drinks — bacteria thrive on
these foods.
6. Avoid Smoking or Tobacco
Smoking accelerates tartar buildup and increases the
risk of gum disease.
7. Schedule Regular Dental Cleanings
Visit your dentist every 6 months for
professional cleaning and preventive care.
You should schedule a professional dental cleaning if:
It’s been more than six months since your last cleaning
You notice yellow or brown buildup on your teeth
Your gums bleed while brushing
You have chronic bad breath
You’re prone to cavities or gum disease
Regular dental visits prevent tartar buildup and protect your overall oral health.
1. What causes tartar to form even if I brush
regularly?
Even with regular brushing, tiny areas like the gumline
and between teeth often retain plaque. Over time,
minerals in your saliva harden this plaque into tartar.
2. Can tartar damage teeth permanently?
Yes. If left untreated, tartar can cause
enamel erosion, gum recession, and tooth loss due
to periodontal disease. Early professional cleaning can
reverse mild gum inflammation.
3. How often should I get my teeth cleaned by a
dentist?
Most people should have professional
scaling and polishing every 6 months; those with
gum disease or braces may need it every 3–4 months.
4. Is dental scaling painful?
Not at all. Ultrasonic scaling is
gentle and non-invasive; you may feel mild
vibrations or sensitivity, but no pain.
5. What’s the difference between plaque removal and
tartar removal?
Plaque can be brushed away at home, while tartar is
hardened and requires professional tools for safe
removal.
6. Can mouthwash prevent tartar?
Mouthwash can reduce bacteria and slow plaque buildup,
but it cannot remove tartar once it forms. It’s a
supporting step, not a replacement for cleaning.
7. Does diet affect tartar buildup?
Yes. A diet high in
sugars, starches, and acidic foods promotes
plaque formation. Choose
fiber-rich fruits, vegetables, and water to
neutralize acids.
8. What happens if I never remove tartar?
Ignoring tartar leads to gum inflammation, tooth decay,
bone loss, and eventually tooth loss. Regular
dental care prevents these complications.
Tartar may seem minor at first glance, but it’s one of the biggest threats to long-term dental health. Once it forms, only a professional dental cleaning can remove it safely.
By maintaining good oral hygiene and scheduling regular dental visits, you can keep your teeth clean, your gums healthy, and your smile confident.
If you’re looking for dental cleaning in Trivandrum or teeth scaling near you, visit Trivandrum Dental Specialists’ Group — where expert care and modern technology work together to protect your smile.
